I. 서론
임상적으로, 발치 시 치근 파절로 치근첨(root tip)이 발치와에 잔존하는 경우가 흔하게 존재한다. 그 결과, 우리는 가끔 임플란트 식립을 계획한 부위에 잔존 치근(retained root)이 남아있는 상황에 직면하게 된다. 이때, 임플란트 식립 전 유착된 잔존 치근을 완전하게 제거하려는 시도는 때때로 매우 침습적일 수 있으며, 골 증강술(bone augmentation) 등의 추가적 술식을 필요로 하게 된다1. 따라서 최종 보철물 장착까지 더 많은 시간을 기다려야 하고 추가적인 비용도 발생하는 등 환자나 술자에게 번거로움이 발생한다. 이에 대해 잔존 치근을 제거하지 않고 잔존 치근에 근접하여 혹은 잔존 치근을 관통하여 임플란트를 식립하려는 시도가 오래 전부터 존재해왔다. 골 삭제를 한 후 동요도가 없는 잔존 치근에 접촉되게 임플란트를 식립한 보고에서, 최종 보철물 장착 후 최대 42개월 경과 관찰 시 방사선 사진상 임플란트와 골 사이에 골 유착(osseotintegration)이 안정적으로 유지되고 있다는 보고가 있다2. 또, 잔존 치근과 접촉되게 임플란트 식립을 하여 실패한 증례보고에서 치근과 임플란트 사이 표면의 유해한 작용이 있었던 것이 아니라 임플란트 주위염에 의한 것으로 보고하고있다3. 이에 반해, 잔존 치근에 임플란트가 접촉되어 식립된 경우 심한 치관부 골 흡수가 일어나면서 임플란트 성공에 있어 위험성을 높인다는 의견도 있다4. 또한, 잔존 치근과 임플란트 표면에서 유해한 반응이 적다고 하여도 위험성이 존재하므로 추천할 만한 것은 아니라는 보고도 있다5.
이에 본 고에서는 잔존 치근과 접촉되게 임플란트 식립을 시행한 후 경과 관찰을 시행한 세 가지 증례를 통해 잔존 치근에 식립된 임플란트의 안정성에 관해 논하고자 한다.
II. 증례보고
1. 증례 1
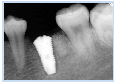
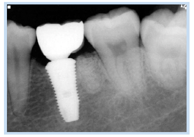
69세 여자 환자가 하악 좌측 제1, 2대구치 상실로 인한 저작의 어려움을 주소로 내원하였다. 하악 좌측 제1, 2대 구치는 6년 전 발치된 상태였고, 하악 좌측 제1대구치의 치근이 잔존해 있는 상태였다(Fig. 1). 내원하기 1개월 전 하악 좌측 제1대구치 부위에 통증이 있었다고 하였지만, 내원 시에는 통증이 없는 상태였다. 심장센터에서 부정맥 치료 중인 환자로 하악 좌측 제1대구치 잔존 치근을 발거하고 하악 좌측 제1, 2대구치 부위에 임플란트를 식립하기로 계획하였다. #46 잔존 치근을 발거하고 치조정 절개를 가하여 피판을 거상한 후 임플란트 drilling을 시행하였다. 그 후 하악 제1대구치에 직경 4.8 mm, 길이 1.5 mm의 임플란트, 하악 제2대구치에 직경 4.8 mm, 길이 10 mm의 임플란트를 일회법으로 식립(Osstem SS II; Osstem Implant, Seoul, Korea)하였다. 치유 지대주(healing abutment)를 연결 후 피판을 재위치시키고 4-0 Vicryl (Johnson & Johnson, New Brunswick, NJ, USA)로 봉합하였다. 임플란트 식립 1주일 후 봉합사를 제거하고 파노라마 방사선 사진과 치근단 방사선 사진을 촬영하였다. 이때 #36 부위에 원심 치근으로 추정되는 방사선 불투과상이 관찰되었으나 감염 등 특별한 증상이 없었고 잔존 치근을 무리하게 제거한다면 그로 인한 골소실 및 임플란트 골유착에 오히려 방해가 될 수 있다고 판단하여 잔존시킨 상태에서 정기적 관찰을 결정하였다(Fig. 2, 3). 임플란트 식립 2개월 후 최종 보철물이 장착되었으며 임플란트 식립 후 115개월간의 치근단 방사선 사진을 통한 경과 관찰 시 안정적으로 임플란트가 유지되고 있음을 관찰할 수 있었다(Fig. 4, 5).

Fig. 1. Preoperative panoramic radiograph of a 69-year-old female patient. Implant placement was planned at left mandibular 1st and 2nd molar area.
Jun-Bae Sohn et al. : Implant Placed in Contact with Retained Root: Case Reports. Implantology 2016

Fig. 2. Panoramic radiograph after implant placement. Radiopaque image is observed between mandibular 1st molar and 2nd molar implant.
Jun-Bae Sohn et al. : Implant Placed in Contact with Retained Root: Case Reports. Implantology 2016

Fig. 3. Periapical radiograph 1 week after implant placement. This radiopaque image was considered as remained root.
Jun-Bae Sohn et al. : Implant Placed in Contact with Retained Root: Case Reports. Implantology 2016

Fig. 4. Follow-up periapical radiograph. (A) Periapical radiograph 4 months after implant placement. (B) Periapical radiograph 12 months after implant placement. (C) Periapical radiograph 67 months after implant placement. (D) Periapical radiograph 87 months after implant placement.
Jun-Bae Sohn et al. : Implant Placed in Contact with Retained Root: Case Reports. Implantology 2016

Fig. 5. Periapical radiograph 115 months after implant placement. Distinct Radiolucency is not observed. Implants show sound condition and do not observe any pathological findings.
Jun-Bae Sohn et al. : Implant Placed in Contact with Retained Root: Case Reports. Implantology 2016
2. 증례 2
22세 여성이 하악 좌측 제1대구치 임플란트 부위의 저작 시 동통을 주소로 내원하였다. 5개월 전부터 하악 제1대구치 임플란트 부위의 저작 시 동통을 느꼈으며, 가만히 있을 때는 동통이 없다고 하였다. 치근단 방사선 사진에서 골 유착이 파괴된 양상을 보였고 원심 측에 방사선 불투과상을 보이는 잔존 치근으로 추정되는 것이 관찰되었다(Fig. 6). 하악 제1대구치의 임플란트 동요도가 심하여 국소마취하에 fixture를 제거하였고(Fig. 7), 원심 측의 잔존 치근은 그대로 남겨둔 채로 임플란트 식립을 계획하였다. 치조정 절개 및 골 점막 피판을 거상하여 직경 6 mm 높이 12 mm의 임플란트(Dentium Superline; Dentium, Seoul, Korea)를 식립하였다(Fig. 8). 임플란트의 근심측과 협측에 6 mm 높이의 열개가 존재하여 동종골(PEDI-STICK) 이식을 시행하였다(Fig. 9). 덮개 나사를 연결한 후 피판을 재위치시키고 4-0 Vicryl로 봉합하였다. 2주 후 봉합사를 제거하였고 치근단 방사선 사진을 촬영하였다(Fig. 10). 술 후 2개월에 2차 수술을 시행하면서 치유 지대주를 연결하였고(Fig. 11), 술 후 4개월에 최종 보철물을 장착하였다. 임플란트 식립 12개월 후 치근단 방사선 사진을 통해 안정적으로 임플란트가 유지되고 있음을 관찰할 수 있었다(Fig. 12).

Fig. 6. Preoperative periapical radiograph of a 22-year-old female patient. Radiopaque image is observed at distal side of failed #36 implant.
Jun-Bae Sohn et al. : Implant Placed in Contact with Retained Root: Case Reports. Implantology 2016

Fig. 7. The failed implant was removed.
Jun-Bae Sohn et al. : Implant Placed in Contact with Retained Root: Case Reports. Implantology 2016

Fig. 8. New implant was installed. The dehiscence located buccally in the height of 6 mm and mesial bonedefects were observed.
Jun-Bae Sohn et al. : Implant Placed in Contact with Retained Root: Case Reports. Implantology 2016

Fig. 9. Bone graft was performed.
Jun-Bae Sohn et al. : Implant Placed in Contact with Retained Root: Case Reports. Implantology 2016

Fig. 10. Periapical radiograph 2 weeks after implant placement.
Jun-Bae Sohn et al. : Implant Placed in Contact with Retained Root: Case Reports. Implantology 2016

Fig. 11. Periapical radiograph 2 months after implant placement. 2nd surgery was performed.
Jun-Bae Sohn et al. : Implant Placed in Contact with Retained Root: Case Reports. Implantology 2016

Fig. 12. Periapical radiograph 12 months after implant placement (8 months after final restoration is fixed). Implants show sound condition and do not observe any pathological findings.
Jun-Bae Sohn et al. : Implant Placed in Contact with Retained Root: Case Reports. Implantology 2016
3. 증례 3
37세 여성이 오래 전에 발거한 하악 우측 제1대구치 위치의 무치악 부위 임플란트 식립 및 수복을 위하여 내원하였다. 파노라마 방사선 사진에서 하악 우측 제1대구치를 발치한 무치악 부위에 방사선 불투과상을 보이는 잔존 치근으로 추정되는 것이 관찰되었다(Fig. 13). 잔존 치근은 그대로 남겨둔 채로 임플란트를 식립하기로 계획하였다. 국소마취하에 치조정 절개 및 골 점막 피판을 거상하여 직경 4.5 mm 높이 10 mm의 임플란트를 식립하였다. 치유 지대주를 연결한 후 fixture의 근심 면의 협측에 골열개가 존재하여 분말형 자가치아골이식재를 이식하였다. 피판을 재위치시키고 4-0 Vicryl로 봉합하였다. 1주 후 봉합사를 제거하였고 치근단 방사선 사진을 촬영하였다(Fig. 14). 임플란트 식립 3개월 후에 최종 보철물을 장착하였고, 임플란트 식립 5개월 후 근심 측 식편압입을 호소하여 보철물을 다시 제작하여 장착하였다. 임플란트 식립 47개월 후에 촬영한 치근단 방사선 사진을 통해 안정적으로 임플란트가 유지되고 있음을 관찰할 수 있었다(Fig. 15, 16).

Fig. 13. Preoperative panoramic radiograph of a 37-year-old female patient. Implant placement was planned at right mandibular 1st molar area. Radiopaque image is observed at mesial side of #47.
Jun-Bae Sohn et al. : Implant Placed in Contact with Retained Root: Case Reports. Implantology 2016

Fig. 14. Periapical radiograph 1 week after implant placement.
Jun-Bae Sohn et al. : Implant Placed in Contact with Retained Root: Case Reports. Implantology 2016

Fig. 15. Follow-up periapical radiograph. (A) Periapical radiograph 6 months after implant placement. (B) Periapical radiograph 12 months after implant placement. (C) Periapical radiograph 27 months after implant placement.
Jun-Bae Sohn et al. : Implant Placed in Contact with Retained Root: Case Reports. Implantology 2016
III. 총괄 및 고찰
잔존 치근과 접촉하여 임플란트가 식립된 위의 세 가지 증례에서 장기간 경과 관찰 시에도 fixture가 안정적으로 유지되고 있음이 확인된다. 치근을 관통하여 골 삭제를 하는 것에는 type I 골 밀도보다 조금 더 단단하게 느껴진다는 것 이외에 다른 어려움은 없다고 한다2. 치근과 임플란트 표면 사이에 유해한 반응이 일어나지 않을까에 대한 고려에 대해서는 치근과 임플란트 표면 사이에서 어떤 유해한 반응도 발생하지 않았다는 보고들이 있고5-8, 이것은 장기적으로 어떠한 병적 반응도 관찰되지 않은 본 고와 일치한다. 또한, 잔존 치근이 아닌 매복치를 관통하여 접촉되게 식립된 임플란트에서도 임플란트와 매복치 사이에 어떠한 병적 변화도 없이 임플란트가 안정적으로 유지된다는 보고도 있다9. 이는, 임플란트가 치수를 침범하여도 어떠한 병적 변화나 통증을 유발하지 않는다는 사실을 지지해주고 치수의 통증이나 괴사는 감염이나 신경의 압박으로 인해서만 생긴다는 사실을 유추해볼 수 있게 해준다10. 본 고와 위의 연구들의 결과들을 보았을 때, 잔존 치근이나 매복치가 임플란트가 계획된 부위에 잔존하고 있을 때 무리하게 제거를 시도할 필요성이 없으며, 잔존 치근에 임플란트를 관통시키거나 근접하여 식립하여도 장기적인 임플란트의 유지 측면이나 잔존 치근 혹은 치아의 병적 변화 등은 관찰되지 않는다는 사실을 알 수 있다.
반면, 7개의 근관 충전재가 채워져 있는 잔존 치근과 접촉되어 식립이 된 임플란트 중 3개가 임플란트와 치근 사이의 병적 골 소실로 제거된 사례도 보고되고 있다4.
또한, 잔존 치근이나 이물질이 임플란트 식립 부위에 존재하는 경우에 임플란트의 근단부 병변이 발생한다는 보고도 있다11,12. 이는 아직까지 조금 더 많은 연구가 필요하지만 기존의 잔존 치근이 골 내에서 병적인 상태를 가지고 있었거나 근관 충전재가 존재하기 때문인 것으로 보인다.
잔존 치근과 접촉되어 식립된 임플란트의 표면은 1) 골-임플란트 표면, 2) 상아질-임플란트 표면, 3) 치주인대-임플란트 표면의 3가지 형태로 구성된다2,5-7. 따라서 의도적으로 잔존 치근에 임플란트를 식립하여 임플란트와 치주인대의 결합을 유도하려는 시도는 오래 전부터 있었다. 원숭이를 대상으로 한 실험에서 하악 잔존 치근에 접촉되게 임플란트를 식립한 결과 새로운 백악질과 치주인대가 임플란트 표면에 생성되는 것을 확인할 수 있었다6,8. 또, 개를 대상으로 한 실험에서 배양한 치주인대세포들을 임플란트 표면에 위치시킨 후 임플란트를 식립한 결과 치주인대가 임플란트 표면에 생성되는 것을 확인한 연구도 있다13. 이후 사람을 대상으로 한 연구도 있었지만 치주인대는 형성되지 않고 백악질만 임플란트 와 단단히 결합되어 있었다고 보고되었다2. 본 증례보고에서는 임플란트 표면에 어떠한 조직학적 변화가 발생했는지 확인하지 못했고, 임상 및 방사선학적 관찰만 시행한 한계점이 있지만, 잔존 치근과 접촉된 임플란트가 골 유착 파괴나 감염 등의 합병증이 발행하지 않고 잘 유지되고 있음을 관심 있게 살펴볼 필요가 있음을 강조하고자 한다.



