I. 서론
완전 무치악을 치료라는 방법으로는 크게 세 가지로 나눌 수 있다. 첫번째가 틀니, 두번째가 임플란트를 이용한 고정성 보철, 그리고 세번째가 임플란트 지지 틀니이다. 물론 케이스에 따라서 장단점이 있지만 저작력의 측면에서는 임플란트를 이용한 고정성 보철물을 제작하는 것이 가장 좋다. 하지만 하악 구치부에 무치악 상태가 오래 지속된 경우 심한 치조골 흡수로 인해 임플란트 수술을 위해 상당히 많은 뼈이식을 해야 할 수 있으며 환자의 사정에 따라 그마저도 어려울 수도 있다.
Misch는 하악에서 이공 사이에 4-6개의 임플란트를 식립하고 구치부를 캔틸레버로
만들어서 고정성 보철물을 만드는 방법을 무치악 치료방법 중 하나로 제시하였다1.
임플란트에서 캔틸레버 형태는 해부학적으로 적절한 위치에 임플란트를 식립할 수 없는 증례에서 심미적 그리고 기능적으로 도움을 줄 수 있다. 캔틸레버의 길이는 식립된 임플란트들의 전후방으로 퍼져있는 정도와 환자의 이갈이나 이악물기와 같은 습관, 크라운의 높이, 수술 부위의 골질 등에 의해서 결정된다2.
그러나 캔틸레버는 임플란트의 생역학적인 측면에서는 좋지 않은 영향을 줄 수 있다. 특히 구치부의 캔틸레버는 강한 교합력으로 인해 전치부 임플란트에 무리한 힘을 가할 수 있고 임플란트 실패로 연결될 수도 있다.
II. 증례
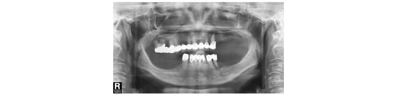
52세 여자 환자가 치아가 상실된 부분에 임플란트 수술과 남아있는 치아의 치료를 원하며 내원하였다. 그러나 남아있는 거의 모든 치아들이 치주질환과 동요도를 보였으며 상악의 경우 모든 치아가 한 개의 브릿지로 묶여 있었다(Fig. 1). 젊었을 때부터 오랜 기간 틀니를 사용하면서 하악 구치부의 경우 잔존 치조골이 거의 없는 상태였다. 단 몇 개의 치아를 살리는 것이 의미 없다고 판단되어 전악 발치를 결정했다. 전치부의 치아가 남아있었기 때문에 틀니를 만들 경우 전치부의 치조골 성형을 상당히 하지 않을 경우 입이 돌출되어 보이는 문제가 생길 수 있었고 환자도 틀니를 원하지 않아 고정성 임플란트 보철을 하기로 하였다. 하지만 하악의 경우 구치부에 임플란트를 식립할 수 없는 상태였으며 수직적 골 거상술은 여러 가지 측면에서 시도하지 않기로 했다.
결국 상악은 완전한 임플란트 고정성 보철로 치료하기로 했으며 하악의 경우 이공 앞쪽에 6개의 임플란트를 식립하고 제 1대구치까지 캔틸레버로 보철을 하는 고정성 임플란트 보철치료를 시도하기로 했고 환자의 저작을 위해 조기 부하를 가하기로 했다.
조기 부하를 결정한 이유는 환자의 원래 치아 상태로 거의 저작을 하지 못하는 상태로 내원해서 저작력이 많이 떨어져있다는 판단과 마른 체구의 여성 환자라는 점 그리고 틀니에 대한 환자의 거부감이 있었기 때문이다.
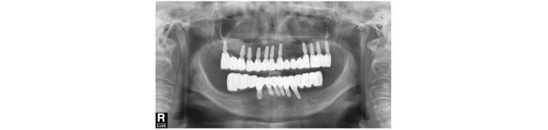
전악 발치 후 하악에는 이공 사이에 6개의 임플란트를 상악에는 8개의 임플란트를 식립하기로 계획하였으나 조기 부하에 의한 임플란트 실패가 우려되어 상악에는 11개의 임플란트를 수술하고 그중 5개의 임플란트를 이용하여 상악 하악 모두 조기 부하를 시도하였다(Fig. 2, 3). 2010년 9월 임플란트 식립과 봉합 후 픽업 임프레션 코핑을 이용해서 인상을 채득하고 상악의 경우 임시치아를 1-piece로 만들었고(Fig. 4) 하악의 경우 구치부의 캔틸레버가 길어서 레진으로 만드는 임시치아는 힘을 버틸 수 없으므로 바로 기성 어버트먼트에 PFM을 1-piece로 제작하여 술 후 2주 후에 부착했다(Fig. 5). 25, 26, 27은 상악동 거상술과 동시에 픽스쳐를 식립하고 묻어두었다. 5개월 뒤 25, 26, 27번 임플란트의 2차 수술을 시행하였고, 처음의 우려와 상관 없이 조기 부하에 사용했던 5개의 임플란트는 모두 골유착에 성공하였다. 단 하악 좌측 견치 부위의 임플란트가 조기 부하의 영향으로 골유착이 양호하지 않은 것으로 보였으나 환자는 불편감이 전혀 없었고 하악의 보철이 1-piece로 제작되어 있었기 때문에 환자에게 고지 후 그대로 유지하기로 하였다. 상악 좌측 구치부의 2차 수술 후 2개월을 더 치유시킨 후 수술한 지 7개월 만에 2011년 4월 상악 최종 보철을 완성하였다(Fig. 6, 7).
III. 총괄 및 고찰
상하악 무치악 환자에서 상악에 11개의 임플란트를 수술 한 후 5개의 임플란트를 사용하여 고정성 임시보철물을 만들고 즉시 부하를 가하였으며 하악에서는 6개의 임플란트를 양쪽 이공 사이에 식립하고 제 1 대구치까지 연장되는 캔틸레버 보철물을 만들어 즉시 부하를 가했다. 치유되는 동안 좌측 최후방에 식립된 임플란트만 골유착에 실패했고 나머지 5개의 임플란트는 정상적으로 치유되었다. 상악의 경우 즉시 부하에 사용되었던 5개의 임플란트를 포함해 11개의 임플란트가 모두 골유착에 성공했다.
Sertqoz와 Guvener는 캔틸레버와 임플란트의 길이가 임플란트 유지 고정성 보철물에 미치는 영향에 대한 유한요소분석 결과에서 부하를 받는 쪽의 가장 원심측 임플란트가 가장 많은 스트레스를 받는다고 보고하였다3. 이 증례에서도 최후방 임플란트 한 개가 골유착에 실패했으나 염증소견을 보이지 않고 즉시 부하 후에 사용하는데 불편감이 없어 그대로 유지하고 관찰하였으며 7년의 기간 동안 그대로 잘 유지되었다(Fig. 8, 9).
|
Fig. 9. Pamoramic view after 7 years. |
Jung Hyun Park : Mandibular 6-Implant-Supported Cantilevered Fixed Prosthesis and Immediate Loading: 7-year Follow-up. Implantology 2017 |
McAkrney와 Stavropoulos는 캔틸레버 형태의 보철물을 유지하는 임플란트들의 전후방으로 퍼져있는 거리(AP spread)가 11.1 mm 이상인 경우 문제가 발생할 빈도가 낮아진다고 보고하였다.
Carl Drago는 캔틸레버 증례에서 문제가 발생하는 경우 75% 정도가 초기 5개월 이내에 발생한다고 보고하였으며 전후방 퍼짐 정도(AP spreads) 뿐만 아니라 임상치관의 길이도 임플란트 성공률에 영향을 준다고 하였다. 그들은 전악 임플란트 유지 고정성 보철물의 캔틸레버 증례에서 임상치관길이/전후방퍼짐 정도가 0.5-0.6일 때 가장 적은 문제점이 발생한다고 보고하였다4.
현재까지 전악 임플란트 유지형 고정성 캔틸레버 보철물의 정확한 가이드라인은 정해져있지 않지만 환자의 교합력, 골질, 보철물의 길이, 임플란트의 전후방 퍼짐 정도 등을 잘 조절하면 구치부에 임플란트를 하기 어려운 환자에게도 고정성 보철물을 만들 수 있다. Gonda등5은 강한 근육의 힘, 불량한 골질, 이갈이, 측방 교합 같은 요소들이 캔틸레버에 적용되었을 때 임플란트 주변의 스트레스 수치가 매우 높아질 수 있다고 보고하였다5.
향후 캔틸레버 보철물의 가이드라인을 위한 더 많은 임상적 연구가 필요하다.











