I. 서론
여러 가지 원인(치아 우식증, 심한 치주질환, 외상 등)으로 발치를 하게 되면 치조제는 필연적으로 생리적 흡수가 발생된다. 이러한 생리적 흡수는 발치 시의 치아 상태나 치주 조직의 손상 정도에 의해 다른 양상을 보이게 되며 어느 정도는 유전적으로 결정되어진다고 알려져 있다. 이러한 발치 후의 흡수로 인한 치조제의 형태를 Seibert는 Class I, Class II, Class III로 분류하였다1. Class I은 치조제의 수평적 흡수가 발생된 경우, Class II는 수직적 흡수, Class III는 수직, 수평적 흡수가 동시에 발생된 경우로 구분하였다. 일반적
으로 임상에서 가장 흔히 접하게 되는 경우가 Class I 의 경우가 될 것이다. 문헌상에서는 이러한 치조제의 수평적 흡수가 존재하는 경우 주로 4가지 방법을 이용하여 골 증대술과 임플란트를 식립한다고 보고하고 있다2,3: GBR, Block bone graft, Ridge splitting, Distraction osteogenesis.
이 4가지 술식 중 가장 많은 논문을 통해 보여지듯이 일반적으로 GBR 술식이 선호된다. 하지만 GBR 술식의 경우도 성공 요건 중 하나인 공간 형성과 유지라는 문제에 직면하게 되며 이를 해결하기 위해 다양한 방법들이 사용된다. 반면 GBR 술식과 달리 수평적 흡수가 심한 폭경이 좁은 상악 치조제 부위에서 치조제 분할술을 적용하여 임플란트를 식립하는 경우 골 결손부의 형태를 치유에 유리한 형태로 전환시켜준다는 큰 장점을 가진다4. 또한 치조제 분할술을 통한 임플란트 식립은 치유를 촉진시켜 치료기간을 단축시킬수 있다는 장점 또한 보고되었다5. 1980년대 후반에 임플란트 식립과 연관된 치조제 분할술이 처음으로 소개되었으나 술식의 난이도로 인해 임상에서 보편적으로 적용되지 않은 것이 사실이다. 그러나 상악의 경우는 골질이 치밀하지 않아서 치조제 분할술이 임상적으로 유용하게 적용될 수 있다. 이번 증례에서는 수평적으로 심하게 흡수된 상악 치조제에서 치조제 분할술을 이용한 임플란트 식립 증례에 대해 보고하고자 한다.
II. 증례
1. 증례 1
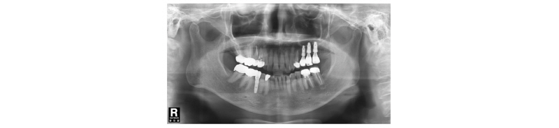
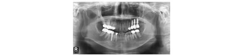
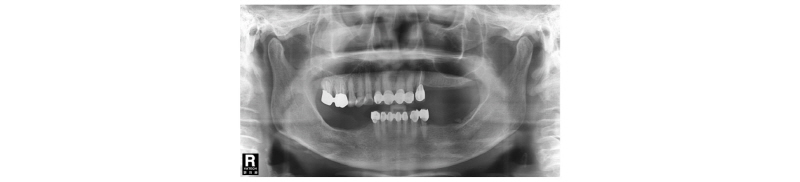
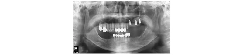
57세의 여성 환자로 기존 브릿지 보철 수복물(#24-27)의 상악 좌측 제 2대구치의 심한 우식으로 인해 내원하여 해당 치아를 발거하였다(Fig. 1). 상악 좌측 제 1 소구치는 근관치료를 시행한 후 보철 수복하기로 하였고 기존 pontic 부위였던 좌측 제 2 소구치와 발거된 제 2 대구치 부위에 #25i, #27i 2개의 임플란트 식립을 통한 브릿지 보철 수복물을 계획하였다(Fig. 2). 기존 pontic으로 유지되었던 좌측 제 2 소구치 부위는 치조제의 심한 수평적 치조골 흡수를 구강 내 임상검사를 통해 확인할 수 있었다. 전층 판막 형성후 상악 좌측 제 2 소구치 부위의 치조정 폭경은 약 2 mm 정도로 측정되었다(Fig. 3, 4). 치조골의 구개측에 약 1 mm의 치조골이 남도록 high speed carbide round bur를 이용하여 치조정에 horizontal intraosseous groove를 형성하였고 협측골의 근심, 원심측에 2개의 vertical intraosseous groove를 형성하였다(Fig. 5). Chisel과 ridge spreader drill (RS kit, Dentium, Korea)을 이용하여 점차적으로 협측 골판을 구개측으로부터 분리시켰다(Fig. 6). Osteotome을 이용, 식립 깊이까지 적용하여 임플란트 식립 부위를 형성하였고 Ø4.3 × 10 mm (Implantium, Dentium, Korea) 임플란트를 식립하였다(Fig. 7). 발치 후 치유된 상악 좌측 제 2 대구치 부위는 상악동 거상술(수직 접근법)을 시행, 골이식을 한 후 4.8 × 10 mm (Implantium, Dentium, Korea)를 식립하였다(Fig. 8). 이후 이종골 이식재(Bio-Oss®, Geistlich, Switzerland)를 식립된 임플란트와 협,구개 측 치조골판 사이의 gap과 협측골판 상방에 적용하고 흡수성 교원질 차폐막(Bio-Gide®, Geistlich, Switzerland)로 피개한 다음 감장절개를 통해 장력없이 봉합하였다(Fig. 9-11). 이후 구강 내 검사 및 방사선 검사를 통해 수술부위 치유상태를 확인하였고 특이한 임상적 소견없이 정상적으로 잘 치유되었다(Fig. 12). 약 3개월 10일 정도의 치유기간 후 이차수술을 시행하였다(Fig. 13). 판막 거상 후 치조제 분할술을 시행하였던 상악 좌측 제 2 소구치 부위에 잘 형성된 신생 골양조직이 관찰되었다(Fig. 14). 상악 좌측 제 2 소구치 부위와 상악 좌측 제 2 구치 부위에 치유지대주를 장착하였고 상악 좌측 제 1 대구치 부위에 추가적으로 임플란트를 1회법으로 식립하였다(Fig. 15). 이차수술 이후 정상적으로 치유가 진행되어 약 2개월 후 최종 보철물 수복을 하였다(Fig. 16, 17). 약 1년 정도의 follow-up시 구강 내 검사와 방사선 검사를 통해서 임플란트 주위 연조직과 변연골이 잘 유지되고 있음을 확인하였다(Fig. 18).
|
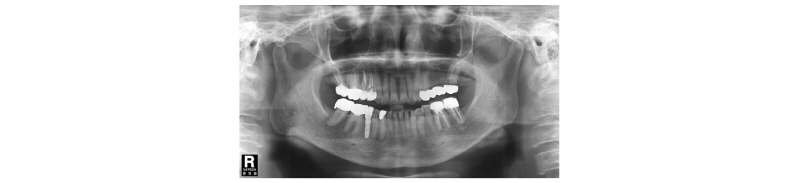
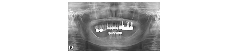
Fig. 1. First visit. Panoramic x-ray view. |
Dong- Wook Chang : The Application of Ridge Splitting Procedure in Severely Atrophied Maxillary Alveolar Ridge: Case Reports. Implantology 2017 |
|
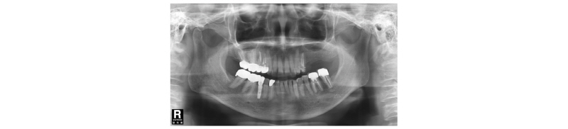
Fig. 2. Pre-Op. Panoramic x-ray view. |
Dong- Wook Chang : The Application of Ridge Splitting Procedure in Severely Atrophied Maxillary Alveolar Ridge: Case Reports. Implantology 2017 |
|
Fig. 3. Clinical view. Pre-op. |
Dong- Wook Chang : The Application of Ridge Splitting Procedure in Severely Atrophied Maxillary Alveolar Ridge: Case Reports. Implantology 2017 |
|
Fig. 11. Flap was closed with tension-free sutures. |
Dong- Wook Chang : The Application of Ridge Splitting Procedure in Severely Atrophied Maxillary Alveolar Ridge: Case Reports. Implantology 2017 |
|
Fig. 13. Clincal view on 2nd op. |
Dong- Wook Chang : The Application of Ridge Splitting Procedure in Severely Atrophied Maxillary Alveolar Ridge: Case Reports. Implantology 2017 |
|
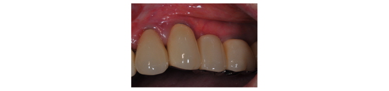
Fig. 16. Clinical clinical view. Final prosthesis. |
Dong- Wook Chang : The Application of Ridge Splitting Procedure in Severely Atrophied Maxillary Alveolar Ridge: Case Reports. Implantology 2017 |
|
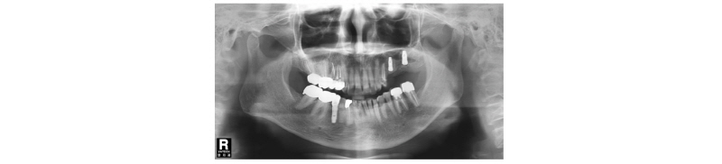
Fig. 17. Panoramic x-ray view. Final prosthesis. |
Dong- Wook Chang : The Application of Ridge Splitting Procedure in Severely Atrophied Maxillary Alveolar Ridge: Case Reports. Implantology 2017 |
2. 증례 2
70세의 여자환자로 상악에 사용하던 부분틀니가 불편하다고 호소하시며 내원하였다. 부분 틀니의 지대치인 상악 좌측 견치 또한 보철물 하방으로 우식이 진행되어 보철물 제거후 우식치료 후 보철물을 재제작하여 장착하기로 계획하였다. 치아가 결손되어 있던 상악 좌측 소구치와 대구치 부위는 임플란트 식립(#24i-26i, 27i)을 통한 고정성 보철물 수복을 계획하였다(Fig. 19). 장기간의 부분틀니 장착으로 인해 임플란트 식립 예정 부위의 심한 치조제 흡수가 관찰되었으며 특히 소구치 부위가 가장 흡수 정도가 심하였다(Fig. 20). 전층판막 형성 후 상악 좌측 제 1 소구치 부위는 치조정에서 약 2 mm 정도의 매우 좁은 치조제 폭경이 확인되었다(Fig. 21). 먼저 상악 좌측 제 1 소구치 부위 치조정에 horizontal intraosseous groove를 작게 형성한 후 협측골에 근, 원심 양측에 vertical intraosseous groove를 형성하였다(Fig. 22). Chisel을 이용하여 협측 골판을 조금 확장시킨 다음 spreader drill (RS kit, Dentium, Korea)을 단계적으로 이용하여 충분히 확장시켜 임플란트 식립을 위한 공간을 확보하였다(Fig. 23). 분리된 협,설측 골판 사이 공간으로 Ø4.3 × 10 mm (Implantium, Dentium, Korea) 임플란트를 식립하였다(Fig. 24). 상악 좌측 대구치 부위는 상악동 거상술(측방접근법)을 시행하여 #26i, 27i : Ø4.3 × 10 mm, Ø4.8 × 10 mm (Implantium, Dentium, Korea)를 식립하였다(Fig. 25). 식립된 24i 임플란트와 협,설측 골판 사이의 gap에 합성골 (Osteon II, Xenoss, Korea)을 적용한 다음 협측 골판 상방에 콜라겐함유 합성골(Osteon II Collagen, Xenoss, Korea)을 추가적으로 적용하였고 식립된 26i, 27i 임플란트 부위의 협측골 두께가 얇아서 협측골 상방에도 콜라겐함유 합성골(Osteon II Collagen, Xenoss, Korea)을 적용하였다(Fig. 26). 골이식재 상방에 흡수성 교원질 차폐막(Collagen, Xenoss, Korea)을 피개한 후 감장절개를 통해 장력없이 봉합하였다(Fig. 27, 28). 약 10일 후 발사 시의 임상소견으로 정상적으로 치유가 잘 진행되었다(Fig. 29). 술 후 파노라마 방사선 소견으로 치조제 분할술을 통해 식립된 24i 임플란트와 상악동 거상술(측방접근법)을 시행하여 식립된 26i, 27i 임플란트가 확인되었다(Fig. 30). 4개월 치유 후 이차 수술 시 전층 판막거상 후 협측으로 충분히 증가된 치조제 폭경과 식립된 임플란트 주위에 이식한 골이 혼화되어 치유된 양상이 확인되었고 치유지대주를 연결하였다(Fig. 31). 이차 수술 후 치유가 정상적으로 진행되어 통법에 따라 보철 수복하였다. 보철물 수복 직후 방사선 사진 소견으로 식립된 24i 임플란트의 변연골 위치가 확인되었다(Fig. 32). 보철물 장착 후 1년 후 방사선 소견에서 임플란트 주위 변연골이 안정적으로 잘 유지되고 있었다(Fig. 33). 보철물 장착 4년 후 follow- up 결과 임플란트 주위 치은이 약간 퇴축된 양상을 보였으나 임상적으로 특이한 소견이 관찰되지 않았고 방사선 소견에서 임플란트 주위 변연골이 안정적으로 잘 유지되고 있음을 확인하였다(Fig. 34-36).
|
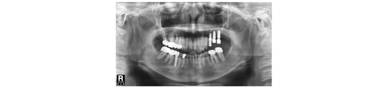
Fig. 19. First visit. Panoramic x-ray view. |
Dong- Wook Chang : The Application of Ridge Splitting Procedure in Severely Atrophied Maxillary Alveolar Ridge: Case Reports. Implantology 2017 |
|
Fig. 23. Ridge spreading with chisel and spreader drill. |
Dong- Wook Chang : The Application of Ridge Splitting Procedure in Severely Atrophied Maxillary Alveolar Ridge: Case Reports. Implantology 2017 |
|
Fig. 28. Flap was closed with tension-free sutures. |
Dong- Wook Chang : The Application of Ridge Splitting Procedure in Severely Atrophied Maxillary Alveolar Ridge: Case Reports. Implantology 2017 |
|
Fig. 29. Healing was well done. |
Dong- Wook Chang : The Application of Ridge Splitting Procedure in Severely Atrophied Maxillary Alveolar Ridge: Case Reports. Implantology 2017 |
|
Fig. 32. Periapical x-ray view. Final prosthesis. |
Dong- Wook Chang : The Application of Ridge Splitting Procedure in Severely Atrophied Maxillary Alveolar Ridge: Case Reports. Implantology 2017 |
III. 고찰
다양한 원인으로 치아를 발거하게 되면 생리적으로 치조골 흡수가 발생하게 된다. 발치 후 치조제의 흡수로 인해 수평적으로 심하게 퇴축된 치조제 부위에 임플란트를 식립 할 경우 대부분 나사산이 노출되는 열개형 결손부(dehiscence defect)가 흔히 발생하게 된다. 이러한 치조제의 결손부를 해결하기 위해 골유도 재생술(Guided Bone Regeneration)6-8, 블록골 이식술(Block Bone Graft)9,10, 골 신장술(Distraction osteogenesis), 치조제 분할술(Ridge splitting)의 방법들이 적용된다고 알려져 있다. 일반적으로 GBR 술식이 가장 보편적으로 적용되고 있다. 치조제 분할술 또한 술식이 용이하지 않아 문헌에 보고된 예도 그리 많지 않고 협측 골판의 파절 가능성으로 인해 임상 적용이 보편적이지 않다. 하지만 치조제 분할술은 골질이 치밀하지 않은 상악에서 비교적 적용이 어렵지 않은 유용한 술식이다. 또한 치조제 분할술은 임플란트 식립과 연관된 골 결손부를 contained defect로 전환시켜준다는 점과 의도적인 불완전 골절을 통해 국소적인 대사작용을 활성화시켜 치유를 촉진시킨다는 장점 등이 문헌 등에 보고되었다4,5. 치조제 분할술은 치조제에 절단선(intraosseous groove)을 형성한 다음 협측 골판을 분리하여 치조골을 확장시킨 후 형성된 공간에 임플란트를 식립하는 방법이다11. 치조제 분할술 적용 시 전층 판막, 부분층 판막, 전층-부분층 혼합 판막 등을 적용하는데 전층 판막은 시야확보에 유리하며 부분층 판막의 경우 협측 피질골판 파절 방지와 혈행 유지라는 장점을 갖고 있다. 이번 증례에서는 전층 판막을 이용하여 시야확보가 충분히 될 수 있도록 하였다. 치조골에 절단선(intraosseous grove) 형성시에는 다양한 기구(Bur, Blade, Microsaw, Piezoelectric device 등)들이 이용되는데 좁은 치조정에서는 Bur를 이용하는 것이 빠르고 정확하게 골절단선을 형성할 수 있다고 판단되어 두 증례 모두 Bur를 이용하였다12,13. 골 절단선 형성 후 협측 피질골판을 chisel, Bone spreader 등의 기구를 이용하여 점차적으로 분리한 다음 발치와와 유사한 contained defect로 전환시킨 상태에서 조심스럽게 임플란트를 식립한다. 이때 식립된 임플란트와 분리된 협, 설측 피질골판 사이에 gap에 다양한 종류의 골이식재와 차폐막의 적용에 관해 문헌 등에 보고되었다14-16. Han 등17은 동물실험을 통해 골이식재와 차폐막을 적용한 경우에 아무것도 적용하지 않은 경우에 비해 골-임플란트 결합이 더 높게 나타났으며 변연골 소실도 더 적게 나타났다고 보고하였다. 치조제 분할술 적용을 통한 임플란트 식립 후 치조골의 변화에 대해 Simion 등4은 치조제 분할술 시 골이식재의 적용 없이 ePTFE 차폐막을 적용한 결과 marginal bone loss가 거의 없다고 보고하였고 De Wijs와 Cune18은 골이식재와 차폐막을 적용하지 않고 치조제 분할술을 시행한 결과 0.8-2.3 mm의 marginal bone loss를 보고하였으며 Engelke 등19 또한 골이식재 적용(HA)과 차폐막을 적용하지 않은 결과 1.7 mm의 marginal bone loss를 보고하였다. 이러한 문헌들을 토대로 이번 증례에서는 골이식재와 차폐막을 모두 적용하였다. 치조제 분할술을 통해 식립된 임플란트의 변연골 반응에 대해서 Chiapasco 등20은 치조제 분할술을 통해 임플란트를 식립, 3년 loading후 0.5 mm 정도의 수평적 골 흡수를 보임을 보고하였다. 치조제 분할술 시행 후의 치유에 있어서도 Scipioni 등5은 치조제 분할술 후 골이식재와 차폐막 적용하지 않은 경우에도 피질골 절단으로 인한 강한 국소적 대사작용으로 협,설측 피질골판 내 골형성과 임플란트의 골유착이 4개월 이내에 형성된다고 조직학적 소견을 통해 보고하였다. 이러한 문헌들을 고려해볼 때 치조제 분할술은 협측 피질골판의 파절의 위험성을 제외한다면 임상에서 적용 시 좋은 결과를 가져올 수 있는 효과적인 술식이라고 생각된다.






































