I. 서론
치아 상실 부위에 있어 임플란트 수복은 보편적으로 이루어지고 있다. 이러한 임플란트 수복의 장기적 생존 및 심미적 수복을 위해서 식립 부위에 충분한 골양이 필요하다1. 그러나 치주염 및 임플란트 주위염으로 인한 만성적인 염증 상태에 이환되거나, 무치악 부위로 장기간 존재하는 경우 골흡수가 다양한 형태로 일어나는 것을 볼 수 있다. 이로 인하여 심미적, 기능적으로 적절한 위치에 임플란트를 식립하는 것이 어려울 수 있다. 따라서 적절한 최종 보철물이 나오기 위해서는 부족한 골을 다시 재형성 해주는 과정이 필요하게 된다.
골이식재로는 다양하게 소개되고 있다. 초기에는 자가골을 많이 사용하였으나, 이식재의 발전으로 이종골을 사용한 임플란트 수복에서도 높은 예지성을 보여주고 있다. 최근에는 rhBMP-2 와 같은 성장인자를 이용한 증례도 보고된 바 있다2. 그러나 성장인자의 경우 여러 가지 합병증도 보고되고 있고3, 안정성에 대한 논란도 있어 아직까지 임상에서는 이종골을 이용한 골증대술이 많이 시행되고 있다.
차폐막의 경우에도 많은 발전이 있어 왔다. 초기에는 비흡수성 Gore-tex를 이용하였으나4, 나중에는 차폐막의 제거가 필요 없는 흡수성 차폐막이 소개되었다5. 흡수성 차폐막의 경우에도 비흡수성 차폐막과 비교하였을 때 임상적으로 적절한 결과를 보여준다고 하고 있다6. 그러나, 수직적으로 골증대를 많이 해야 하는 경우 흡수성 차폐막 하나만으로는 한계가 있어 보인다. 적절한 3차원적 공간을 유지하는 데에는 titanium mesh나 titanium reinforced membrane의 도움이 필요하다.
본 증례에서는 중증의 구치부 골흡수를 보이는 환자들을 대상으로 이종골과 비흡수성 차폐막을 이용한 골증대술을 보고하고자 한다.
II. 증례보고
1. 증례 1
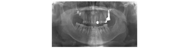
만 70세 남자 환자가 #16, #17 임플란트 파절 원인으로 임플란트 제거 및 임플란트 재식립을 위해 의뢰되었다. #15도 함께 상실되어 있었고, #25는 수직 파절되어 있었다(Fig. 1). 이전 환자 차트 기록을 살펴보았을 때, 2008년 본원에서 임플란트 수복을 한 기록이 있었다. 그 당시에도 좌측 하악 제2대구치가 상실되어 있었고, 이로 인해 우측으로 저작을 주로 하여 우측 임플란트에 피로 파절이 생긴 것으로 판단하였다. 실제로 문진 결과 왼쪽보다는 오른쪽으로 주로 저작한다고 하였다. Implant-crown ratio 가 불리하더라도 임플란트의 장기 생존률에는 큰 영향을 미치지 않는다는 연구 결과도 있지만, 현재 환자가 저작을 우측으로 한다는 점을 고려해서 좀 더 개선된 implant-crown ratio를 만들어주기 위해 수직적 골증대술을 시행하기로 하였다.
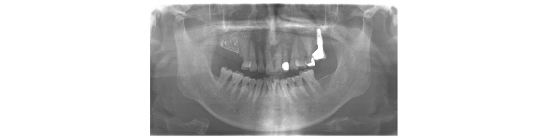
국소 마취 후 판막을 거상하고 임플란트를 확인하였다(Fig. 2A~2C). 트레핀 버를 이용하여 임플란트를 제거하였고 이때 #17 부위에서는 상악동이 천공되었다(Fig. 2D). 골창 내부로 콜라겐 스펀지를 삽입하였다(Fig. 2E). 상부에 이종골 이식재(deproteinized bovine bone mineral, DBBM)을 적용하고 titanium mesh로 고정하였다(Fig. 2F). 이후에 흡수성 콜라겐 차페막을 적용하고(Fig. 2G), 흡수성 봉합사 4/0 vicrly로 봉합하였다(Fig. 2H). 1주일 뒤 내원했을 때 수술 부위 이상소견 관찰되지 않았다(Fig. 2I). 수직적으로 6 mm, 협설 방향으로 8 mm, 근원심 방향으로 23 mm 정도의 골증대를 이루었다(Fig. 3).
4달 뒤, 내원하였을 때 수술 부위에 특별한 이상 소견 관찰되지 않았다(Fig. 4A). 국소마취하에 판막을 거상하고(Fig. 4B), titanium mesh를 제거하였다(Fig. 4C). #15, #17 부위에 임플란트를 식립하였고(Fig. 4D), apically positioned flap으로 봉합하였다(Fig. 4E). 2달 뒤 체크하러 왔을 때 큰 이상소견 보이지 않았고(Fig. 4F), 임플란트 식립 4개월 후에 최종 보철 시행하였다(Fig. 5).
2. 증례 2
2007년 다른 병원에서 임플란트를 했는데, 임플란트가 빠지고 붓는다는 주소로 내원한 47세 남자 환자이다. 혈압은 다소 높으나, 특별히 약을 먹고 있지는 않는다고 하였고 신경안정제를 복용 중이라고 하였다. 첫 내원 시 우측 하악 구치부 임플란트 보철물은 존재하였으나 3개월 후 다시 재내원했을 때에는 파절되어 빠져 있었다(Fig. 6). 환자와 상의하에 우측 상하악 구치부를 먼저 수복한 후 좌측을 수복하기로 하였다. 우측 상하악 구치부에 남아있는 파절된 임플란트를 제거하였다(Fig. 7). 연조직 치유를 위해서 1달을 기다린 후 우측 하악 구치부 먼저 GBR 시행하기로 하였다. 국소마취 후에 판막을 거상하고(Fig. 8A, 8B), 이종골 이식재(DBBM)을 적용한 후, 비흡수성 차폐막 dense polytetrafluoroethlene (dPTFE)을 덮어주고(Fig. 8C), 4/0 vicryl로 봉합하였다(Fig. 8D). 상악 좌측 구치부는 하악에 비해 재건해야 할 골양이 많아 dPTFE 차폐막을 사용하기 보다는 titanium mesh를 이용하였다. 상악 우측 구치부는 수직적으로 6 mm, 협설방향으로 8 mm, 근원심 방향으로 25 mm 정도의 골유도 재생술을 시행하였고, 하악 우측 구치부는 수직적으로 4 mm, 협설방향으로 8 mm, 근원심 방향으로 20 mm 정도의 골유도 재생술을 시행해 주었다.
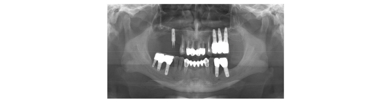
골유도 재생술을 시행한 후 5개월이 지난 후에 임플란트를 식립하도록 하였다. 우측 하악 구치부에 시행한 비흡수성 차폐막을 제거한 후(Fig. 9A~9C), 직경 5 mm 임플란트 2개를 각각 #46, #47 부위에 식립하였다(Fig. 9D~9F). 골질은 D1 정도였고 초기 고정도 잘 이루어졌다. 그 다음에는 우측 상악 구치부 수술을 진행하였다. Titanium mesh를 제거한 후(Fig. 10A~10D), #14, #15 부위에는 직경 4.5 mm 의 임플란트를 식립하였고, #16 부위에는 직경 5 mm 임플란트를 식립하였다(Fig. 10E, 10F). 골질은 D3 정도였으나 초기 고정을 얻는 데에는 큰 무리가 없었다.
III. 총괄 및 고찰
임플란트 수술 시 필요한 골증대술과 관련하여 다양한 이식재, 차폐막, 그리고 술식들이 소개되고 있다. 본 증례에서는 이종골과 titanium reinforced nonresorbable membrane 혹은 이종골과 titanium mesh 및 흡수성 콜라겐 차폐막을 이용하여 수직적, 수평적 골결손 부위의 골유도 재생술을 시행하였다. 이종골 이식재는 골전도성만을 가지므로 적절한 골재생을 위해서는 혈류 공급이 잘 이루어져야 한다7. 보통 연조직은 발치가 이루어진 후 4~6주가 지나면 적절하게 치유가 된다8. 골 리모델링 과정에서 피질골이 생기면 이식재로 혈류 공급이 이루어지는 데에 한계가 있기 때문에 발치 및 임플란트 제거가 이루어진 후 3개월 이내에 골유도 재생술을 시행하는 것이 좋을 것이라고 생각한다. 본 증례에서도 연조직이 불충분한 경우에는 임플란트 제거 4~6주 후에 골유도 재생술을 시행하여 비교적 양호한 결과를 얻었다.
흡수성 콜라겐 및 합성 폴리에스터 차폐막은 공간 유지 기능이 부족하다. 이러한 차폐막은 공간이 무너지는 것을 방지하기 위해 tenting screw나 다른 골이식재와 함께 사용된다9. 비흡수성 차폐막과 비교했을 때 흡수성 차폐막도 훌륭한 결과를 보인다는 연구 결과도 있지만, 수직적 골결손이 있는 부위에서는 공간을 잘 만들어주기 위해서 titanium reinforced nonresorbable membrane이나 titanium mesh를 이용하는 것이 좀 더 유용하다. 흡수성 차폐막으로 적절한 결과를 얻기 위해서는 여러 개의 tenting screw를 적절한 위치에 잘 고정시켜야 하는데 골파괴가 넓게 나타난 경우, 임상적으로 이러한 술식을 이용하는 데에는 어려움이 많기 때문이다.
본 증례는 골이식 부위에 식립된 임플란트의 장기적 결과를 살펴보지 못했기 때문에 한계점을 지닌다고 할 수 있다. 골이식 부위에 식립된 임플란트의 생존 및 심미적 결과에 대한 장기적인 관찰이 좀 더 필요할 것으로 생각된다.












