I. 서론
디지털 치과학의 발전으로 인해 간단한 인레이나 크라운의 디자인과 수복물 제작뿐만 아니라 복잡한 고정성 가공의치와 가철성 국소의치 및 임플란트 수술용 가이드와 임플란트 지지 수복물 등 치과 보철 영역 대부분의 보철물 제작에 디지털 기술들이 응용되고 있다. 구강스캐너는 스위스 취리히 대학의 Mörmann와 Brandestini 가 1980년대 초에 소개하고 첫 환자를 본 이후 계속적으로 발전하였으며, 2000년대에 들어서면서 후발 스캐너 개발사들이 앞다투어 다양한 방식과 형태의 장비들을 소개하면서 치과에 보급되기 시작
하였다1-4. 처음에는 구강스캐너를 통한 전악 스캔이 가능 여부 및 정확도의 한계 때문에 가능한 증례가 인레이와 크라운에 한정되었지만, 최근에는 교정 영역에서 투명교정장치 및 임플란트 수술용 가이드 제작에도 사용될 정도로 전악 스캔 데이터의 활용이 일반화되어 왔으며, 수복 영역에서도 다양하게 활용되고 있다5,6.
구강스캐너로 디지털 인상 채득을 할 경우, 영상기반으로 데이터를 취득하는 방식이기 때문에 물리적으로 인상체와 석고 모형을 얻지 못한다. 간단한 단일수복물일 경우 디자인 후 전부지르코니아관(monolithic zirconia crown)만 구강 내에 바로 장착하는 모형 없는 술식(model-free technique)이 가능하지만, 교합과 접촉점에 대한 정보가 필요한 복잡한 증례, 특히 도재 축성이 필요한 전치부 등의 경우에는 맞춰볼 수 있는 모형(adaptation model)이 꼭 필요하다. 구강 스캔 데이터를 모형을 실체화하는 수단으로 폴리우레탄 등의 밀링이 가능한 레진 재료를 CNC 가공하여 제작하는 방법이 iTero 구강스캐너 출시와 함께 소개된 바가 있다. 하지만 특수한 장비가 필요하고 제작 단가가 높아서 대중화되지는 못하였다. 최근 3D 프린팅 기술의 발전으로 출력 해상도 증가 및 장비 가격의 현실화로 인해 구강 스캔 데이터를 3D 프린터로 출력하여 사용하는 방법이 점차 대중화되고 있다. 치과용 캐드 소프트웨어의 발전으로 구강 스캔 데이터를 손쉽게 트리밍 하고, 다이 모형을 분리하며, 임플란트 복제품(lab analog)의 삽입을 위한 디자인 등이 가능해지면서 3D 프린팅을 통한 모형 제작이 용이해지고 있으며, 점차 사용이 늘어나고 있다.
본 증례보고의 목적은 일상적으로 많이 접하는 임플란트 증례에서 구강스캐너로 디지털 인상을 채득하고 3D 프린터로 적합용 모형을 제작하고, 교합 간섭이 가상교합기 기능을 통해 효과적으로 제거된 전부지르코니아관을 제작하여 장착하였으며, 좋은 임상결과를 얻었기에 이를 보고하는 바이다.
II. 증례보고
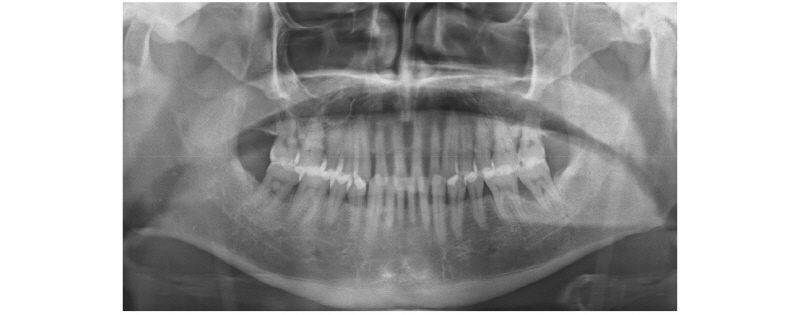
55세 남환이 금일 점심식사 하다가 하악 좌측 어금니가 깨졌다고 하여 내원하였다. 구강 내 소견은 하악 좌측 제1대구치의 설측 교두 두 개를 포함하여 치은 하방의 치근분지부까지 파절이 진행되었고, 치주질환으로 수직적 골결손이 많이 진행된 제2대구치를 포함하여 해당 치아 발치 후 두 개의 임플란트를 식립하기로 하였다(Fig. 1). 내부연결형 임플란트(TSIII, Osstem, Busan, Korea) 두 개를 식립하였고, 골유착이 충분히 이루어진 이후 보철과로 재내원하였다. 비디오 촬영 방식의 구강스캐너(Trios, 3shape, Copenhagen Denmark)를 이용하여 디지털 인상 채득을 시행하였다. 식립된 임플란트에 맞는 디지털 인상용 코핑(Scanbody, DIO Implant, Busan, Korea)을 임플란트 식립체 상단에 연결하고 파우더를 뿌리지 않는 방식의 구강스캐너로 디지털 영상을 획득하였다. 치유지대주를 푼 다음 임플란트의 치은 연하 형태와 인접 치아의 측면을 포함하여 하악 좌측 편악을 스캔하고, 스캔바디를 연결한 후 그 주변을 추가 스캔하였다. 이후 대합 치열을 스캔하고, 반대편 어금니로 최대감합위까지 교합된 상태를 유지하며, 측방 바이트 채득 기능을 이용하여 교합을 인기하였다. 기공소로 데이터를 전송하기 전에 스캔 데이터를 확인하여 전치부의 교합 양상이 환자의 실제 교합과 동일한지 확인하였다.
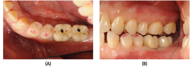
스캔 데이터는 맞춤형 지대주, 상부 전부지르코니아관, 그리고 시착용 모형 디자인 및 제작의 세 가지 목적으로 동시에 활용되었다. 데이터를 치과용 캐드(Dental system, 3shape)에 불러들이고, 하악 좌측 제1, 2대구치에 대한 치식과 보철물 형태를 입력 후 디자인을 시작하였다. 교합 관계가 정확하게 인기 되었는지 확인을 위해 디지털 인상 채득 단계에서 상하악 교합점을 찍어놓은 상태에서 스캔을 하였고, 컬러 스캐너이기 때문에 캐드 소프트웨어상에 환자가 최대감합위로 교합하였을 때의 교합점이 함께 불러들여져 있었다. 측방바이트를 통해 컴퓨터 재조합 기능으로 인기된 상하악 교합상태에서 표시된 교합점과 비교하여 동일한 위치에 교합점이 찍혀 있는지 확인하였다. 본 증례에서는 차이가 없었는데, 그렇지 않은 경우 캐드 상에서 미세 조정을 통하여 교합 관계를 수정할 수 있다(Fig. 2). 인접치와 대합치와의 관계에 맞는 디자인이 컴퓨터 계산에 의해 제시되었고, 접촉부, 교합, 치은부의 디자인에 대한 수정이 이루어졌다. 가상교합기 기능을 활용하였는데, 현재 진료실에서 사용하고 있는 반조절성 교합기(PROTAR evo 7, KaVo, Biberach, Germany)를 불러들였다. 아직 스캔 프로그램(Trios, 3shape)에서 측방 및 전방 바이트를 따로 채득하는 기능은 없어서 기본 세팅으로 교합기를 조정 후 사용하였다. 측방 운동 시 인접 자연치아에 의해 교합유도되는 부분이 파란색으로 표시가 되었으며, 군교합(group function)을 이루는 것이 확인되었다. 임플란트 수복물 디자인상에 측방 운동 시 걸리는 부분은 황금색으로 표기가 되었으며, 이러한 접촉 영역에서의 재료를 제거하여 디자인을 수정하였다. 이로서 임플란트에 측방하중이 최소로 전달되도록 디자인이 완성되었다(Fig. 3). 상부 전부지르코니아관 디자인에 맞게 컷백이 되어 맞춤형 지대주 디자인도 결정이 되었다. 시착 모형 디자인은 모형 제작 모듈(Model builder module, 3shape)을 통하여 시행하였다. 주변의 과도한 조직부를 정리하고, 임플란트 식립체 부위는 전용 임플란트 복제품이 들어갈 수 있게 자리를 형성하였다. 모듈상에서 간단히 CO 상태를 유지시키는 교합기 디자인에서 악궁의 위치를 결정한 다음 모형 디자인을 완성하였다(Fig. 4). 전부지르코니아관은 지르코니아 블록(LAVATM plus, 3M ESPE, Minnesota, United States)으로 제작하였고, 티타늄 맞춤형 지대주는 전문회사(RaphaBio, Seoul, Korea)에 데이터를 전송하여 제작하였다. 그리고 시착 모형은 Polyjet 방식 3D 프린터(Eden 260V, Stratasys, Minnesota, United States)를 이용하여 모형 재료(VeroDent MED670, Stratasys)를 이용하여 적층제조하였다(Fig. 5). 환자 구강에 맞춤형 지대주 및 SCRP 방식의 상부 전부지르코니아관을 레진 시멘트(Panavia F2.0, Kuraray, Newyork, United States)로 접착하였다. 지대주와 금관 사이의 적합도는 우수하였고, 구강 내에서 교합 조정이 거의 필요 없었으며 측방 운동 시에 걸리는 부분도 없었다. 환자는 임플란트 수복물 장착 후 개선된 기능과 심미성에 만족하였다(Fig. 6, 7).

Fig. 2.
Utilization of color scan function for the verification of registered bite. (A) Occlusal marks from articulating paper were obtained as a part of the digital impression data. (B) Computer-calculated color map from buccal bite registration was compared with occlusal marks. (C) If there is mismatch between these two, fine adjustment of occlusion can be done in the virtual space.

Fig. 3.
Designing monolithic zirconia crown with the help of virtual articulator function. (A) Jaw placement on the virtual articulator. (B) Lateral movement showing group function. (C) Interference was marked as white spot with red line. (D) Command of interference deletion on the crown design was entered. (E) Crown design was modified to have minimum amount of lateral interference.
57세 여환이 오랫동안 쓰던 3본 고정성 가공의치가 불편하여 내원하였다. 상악 우측 제2대구치아 접착제 소실로 2차우식이 상당히 진행되어 있었으며, 발치 후 제2소구치는 고정성 가공의치를 자른 후 금관으로 그대로 사용하고, 제1, 2대구치 부위에 임플란트 치료를 하기로 하였다(Fig. 8). 내부 연결형 임플란트(TSIII, Osstem)를 식립하였고, 스캔바디를 이용하여 디지털 인상채득 후 티타늄 맞춤형 지대주, SCRP 전부지르코니아관을 CAD/CAM 제작하였으며, 시착 모형을 3D 프린트 적층 제작하였다. 환자는 재건된 수복물에 만족하였다(Fig. 9).
41세 남환이 어금니가 찬 물, 미지근한 물에 시리다는 주소로 내원하였다. BO inlay 근심과 협측에 잔금이 가 있었고, 치아 파절로 진단을 내리고 발치 후 임플란트(TSIII, Osstem) 식립을 하였다(Fig. 10). 디지털 인상 채득 후 맞춤형 지대주와 전부지르코니아관을 제작하였고, 시착 모형을 3D 프린터로 제작하였다(Fig. 11). 환자는 교합 기능과 심미적으로 모두 만족하였다(Fig. 12).
III. 총괄 및 고찰
최근 디지털 장비의 하드웨어 발전이 잠시 주춤한 반면 소프트웨어는 계속적으로 보다 직관적이고 강력한 기능을 갖추어 나가는 추세이다. 구강스캐너의 경우 획득된 영상을 재조합 하는 알고리즘이 개선되면서 하드웨어 변화 없이 속도가 빨라지는 등의 발전이 있어 왔다. 치과용 캐드 소프트웨어에서는 가상교합기 기능의 발전으로 인해 단순히 보여주기 목적이 아니라 측방 운동 시의 교합 간섭을 디자인에서 제거하는 등 실제적인 활용이 가능하게 되었다. 임플란트 수복물의 교합은 임플란트에 측방압을 최소로 하면서 교합력이 임플란트에 수직적으로 전달되는 것이 바람직하다. 따라서 가상교합기 기능을 통해 교합 간섭을 삭제하는 것이, 임상에서 교합 조정이 쉽지 않고 놓치고 지나간 교합 간섭이 대합치나 임플란트에 영향을 줄 수 있는 전부지르코니아관의 디자인에서 유용하다.
본 증례에서는 임상에서 흔히 만나게 되는 간단한 임플란트 증례를 디지털 개념으로 제작하는 예를 보고하였다. 디지털 구강스캐너는 광학 기반의 기술이기 때문에 반사경이나 렌즈의 김서림 등이 속도와 정확도에 영향을 미칠 수 있으며, 타액이나 혈액이 덮힌 부분에 굴절 효과로 실제 거리보다 가깝거나 멀게 인식되거나 반사가 되어 스캔이 안되는 등의 한계가 있을 수 있다. 실제로 변연부의 선을 치은열구 근처에서 정확하게 인기하기 위하여 아날로그적인 방법과 동일하게 치은압배사(retraction cord)를 사용하는 등의 어려운 점이 많다. 하지만 임플란트의 경우에는 스캔바디의 형태만 영상으로 취득하면 되기 때문에 구강스캐너를 통한 증례의 난이도가 높지 않다. 맞춤형 지대주와 상부 금관 사이의 이음매 부위도 캐드 소프트웨어 상에서 임의로 설정된 선에 따라 각기 제작되기 때문에 틈이 없이 정밀한 제작이 가능하다. 따라서 구강스캐너를 처음 도입하는 치과에 가장 먼저 시행해볼 만한 증례가 편악의 간단한 임플란트 보철물을 제작하는 경우이다. 본 증례에서는 가상교합기 기능을 통해 측방압이 임플란트에 최소로 전해지는 이상적인 교합을 가진 수복물을 직관적으로 만들 수 있었다.
IV. 결론
디지털 기술을 활용한 임플란트 수복 증례를 통해서 구강스캐너로 디지털 인상을 채득하고, 캐드 소프트웨어의 다양한 기능을 통하여 임플란트에 측방압이 최소로 가해지는 수복물 디자인을 하여 구강 내에서 조정이 힘든 전부지르코니아관의 교합을 최적화할 수 있었다. 아울러 시적 모형을 디자인한 후 Polyjet 방식의 3D 프린터로 제작하여 실제 구강 장착 전에 수복물의 변연부, 접촉점, 교합 등을 평가하여 준비할 수 있었다. 본 증례에서와 같은 편측 임플란트 수복물 제작에 구강스캐너를 활용하여 상기의 여러 가지 이점들을 얻을 수 있었으며, 향후 구강스캐너가 더욱 보급되고 활용되면서 더욱 다양한 부분에 적용할 수 있을 것으로 기대한다.












